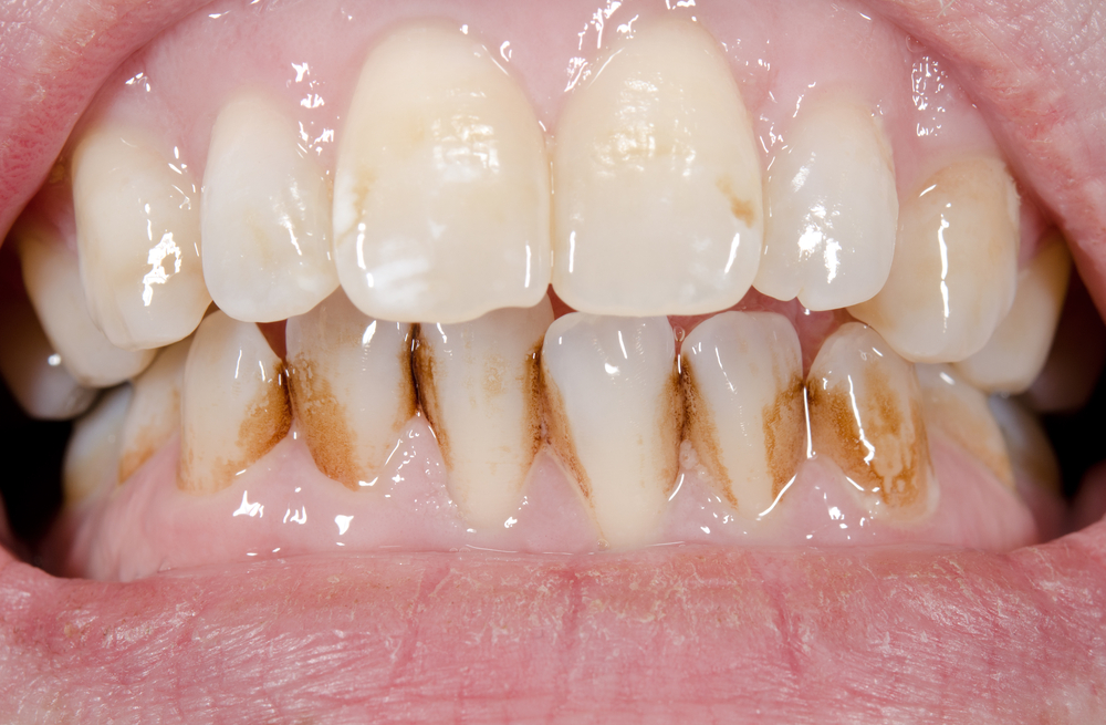
Theo thời gian, răng không còn giữ được độ sáng bóng do thói quen ăn uống sinh hoạt, do tuổi tác hoặc các bệnh lý răng miệng. Vì thế, rất nhiều người có nhu cầu tẩy trắng răng để lấy lại sự tự tin khi giao tiếp, tăng thẩm mỹ và tạo ấn tượng tốt với người đối diện. Dưới đây là một số thông tin quan trọng bạn cần biết về tẩy trắng răng.

Lý do răng bị nhiễm màu
Màu răng không đều, ố vàng, mất đi độ sáng bóng thường do 2 nhóm nguyên nhân chính:
Nhiễm màu ngoại lai:
- Thực phẩm, đồ uống có màu như trà, cà phê, rượu vang, nước ngọt, socola, sốt cà chua, nước trái cây, cà ri,…
- Hút thuốc lá lâu năm
- Đánh răng không đúng cách, không loại bỏ hết các mảng bám thức ăn thừa vi khuẩn bám vào men răng.
Nhiễm màu nội sinh:
- Do tuổi tác, tích tụ các sắc tố gây sậm màu theo thời gian
- Bệnh lý răng miệng, cao răng mảng bám, chết tủy
- Nhiễm Fluoride từ nguồn nước hoặc kem đánh răng có nồng bộ Fluoride cao
- Thuốc, đặc biệt là kháng sinh tetracyline, thuốc kháng histamin. Sử dụng kháng sinh Tetracycline khi còn nhỏ hoặc phụ nữ mang thai sử dụng Tetracyclin, con sinh ra có thể bị nhiễm màu răng một phần hay toàn bộ. Đây cũng nguyên nhân gây xỉn màu răng nặng nhất và khó giải quyết nhất.
Tẩy trắng răng là gì?
Một hàm răng trắng sáng với nụ cười rạng rỡ là một trong những tiêu chuẩn để đánh giá vẻ đẹp của con người hiện đại. Nhu cầu làm đẹp ngày càng phong phú, vì thế phương pháp tẩy trắng răng ra đời đáp ứng mong muốn cải thiện hàm răng ố màu để tăng tính thẩm mỹ và tự tin hơn trong giao tiếp của rất nhiều người.
Tẩy trắng răng là phương pháp làm thay đổi màu sắc của răng, làm răng trắng sáng hơn ban đầu. Bản chất của phương pháp này là sử dụng các chất có tính oxy hóa như Carbamide Peroxide hay Hydrogen Peroxide và xâm nhập qua lớp men răng và năng lượng ánh sáng tạo ra phản ứng làm cắt đứt chuỗi phân tử màu có trong men răng, giúp răng trắng sáng hơn. Dùng thuốc trong nồng độ cho phép và thời gian hợp lý thì phản ứng chỉ xảy ra trên bề mặt men răng, không gây tổn thương răng hay bất kỳ yếu tố nào trong răng.

Phương pháp tẩy trắng răng tại Phòng khám Răng Hàm Mặt Đại học Phenikaa
Hiện nay có rất nhiều phương pháp để tẩy trắng răng như dùng thực phẩm tự nhiên, kem đánh răng có chất làm trắng, miếng dán làm trắng, gel làm trắng, máng tẩy trắng cá nhân hay tẩy trắng răng tại phòng khám dưới sự giám sát của nha sĩ. Tuy nhiên, 2 phương pháp đang được sử dụng nhiều nhất hiện nay là máng tẩy trắng răng tại nhà và tẩy trắng tại phòng khám.
Với những vết ố bên ngoài chỉ tích lũy trên các bề mặt lõm hay các đường nứt của thân răng, không thâm nhập vào trong men răng do chế độ sinh hoạt, ăn uống thì có thể loại bỏ hoàn toàn bằng cách chải răng hoặc lấy cao răng.
Với những vết ố nằm trong lớp men răng, phân tử màu tích tụ tại ngà răng và men răng, hoặc răng ngả màu do dùng thuốc kháng sinh thì cách để loại bỏ những mảng ố này là dùng các kỹ thuật tẩy trắng răng hoặc các sản phẩm tẩy trắng chuyên nghiệp tại phòng khám dưới sự hướng dẫn của nha sĩ.
Tại phòng khám Răng Hàm Mặt Đại học Phenikaa, có 2 phương pháp tẩy trắng răng đang được các bác sĩ áp dụng cho bệnh nhân.
Phương pháp tẩy trắng răng bằng máng tại nhà
Với phương pháp này, đầu tiên, các bác sĩ sẽ lấy dấu mẫu răng bằng máy Scan trong miệng 3Shape Trios, sau đó thiết kế khay nhựa mềm trong suốt phù hợp với khuôn răng của bạn. Khay có tác dụng giữ thuốc tẩy răng và ngăn không cho nước bọt tràn vào. Tiếp đó, tùy thuộc vào mức độ nhiễm màu răng, các bác sĩ sẽ hướng dẫn cách đeo khay và dùng thuốc tẩy có nồng độ thấp khaorng 10 – 15% và cách vệ sinh răng miệng tại nhà.
Thời gian hiệu quả sau khoảng 7 – 10 ngày.
Ưu điểm của phương pháp này là thực hiện tại nhà, chủ động thời gian, chi phí thấp. Tuy nhiên, nhược điểm là chỉ phù hợp với nhiễm màu mức độ nhẹ do thực phẩm, hay do tuổi tác.
Phương pháp tẩy trắng răng tại phòng khám
Trước khi tẩy trắng, bác sĩ sẽ làm sạch cao răng, trám phục hồi nếu cổ răng bị mòn, chải sạch các mảng bám. Bệnh nhân được đeo dụng cụ bảo vệ môi, nướu, thuốc chống tê buốt, đeo kính bảo hộ. Sau đó các bác sĩ sử dụng thuốc tẩy nồng độ cao 35 – 37%, kết hợp với ánh sáng laser cường độ mạnh để thực hiện tẩy trắng.
Ưu điểm của phương pháp này là cho tác dụng nhanh chóng, chỉ 1 liệu trình 45-60 phút bệnh nhân sẽ đạt được độ trắng như ý, hiệu quả với những trường hợp răng bị nhiễm màu nặng hơn, nhiễm màu do Tetracycline, do nhiễm Flour hoặc bệnh nhân muốn có hiệu quả nhanh chóng.

Nếu răng nhiễm màu nặng, có thể phải sử dụng kết hợp cả hai phương pháp tẩy trắng tại phòng khám nha khoa và tẩy trắng bằng máng tại nhà. Kết quả tẩy răng ở mỗi người sẽ khác nhau, độ trắng có thể giảm theo thời gian tuy nhiên vẫn sẽ trắng hơn màu răng ban đầu.
Những trường hợp nào không nên tẩy trắng răng
Tẩy trắng răng là một kỹ thuật nha khoa tương đối đơn giản, thực hiện nhanh chóng. Tuy nhiên, trong những trường hợp sau đây không nên thực hiện tẩy trắng răng:
- Phụ nữ đang mang thai hoặc đang cho con bú vì các hoạt chất trong các sản phẩm tẩy trắng răng có thể làm ảnh hưởng đến thai nhi và trẻ nhỏ
- Người chưa đủ 16 tuổi vì trong đây độ tuổi buồng tủy còn rộng, việc tẩy trắng răng có thể dẫn đến ảnh hưởng không tốt làm kích thích tủy răng và khiến răng bị ê buốt, thậm chí gây nha chu, viêm, tụt nướu.
- Người mắc bệnh lý về răng như viêm nha chu, sâu răng, mòn cổ chân răng.
- Người gặp các vấn đề về sức khỏe như động kinh, tâm thần, tim mạch, tiểu đường,… thì không nên tẩy trắng răng. Sự căng thẳng, nhạy cảm trong quá trình tẩy trắng răng có thể khiến tim đập nhanh hơn ảnh hưởng không tốt đến sức khỏe.
- Người bị dị ứng với các thành phần của thuốc tẩy trắng răng như carbamide peroxide, hydrogen peroxide, cũng không nên thực hiện làm trắng răng này.
Để được tẩy trắng răng an toàn, hiệu quả, bạn cần lựa chọn được đơn vị nha khoa uy tín. Tại Phòng khám Răng Hàm Mặt Đại học Phenikaa, các bác sĩ sẽ thăm khám cặn kẽ chi tiết để biết chính xác tình trạng cơ thể có thích hợp để tẩy trắng răng được không và đưa ra tư vấn hợp lý, phù hợp với thể trạng của từng bệnh nhân.
Chi phí tẩy trắng răng tại Phòng khám Răng Hàm Mặt Đại học Phenikaa
| Dịch vụ | Đơn vị | Giá |
| Tẩy trắng Răng bằng máng tại nhà | Lần | 2,000,000 |
| Tẩy trắng Răng tại phòng khám | Lần | 3,500,000 |
| Tẩy trắng Răng nội tủy | Răng | 2,000,000 |
| Điều trị ê buốt bằng máng | Hàm | 1,200,000 |
Phòng khám Răng Hàm Mặt Đại học Phenikaa đã và đang khẳng định là địa chỉ chăm sóc răng miệng uy tín, chăm sóc từ tâm, nâng tầm nụ cười của người Việt. Đến với Phenikaamec, khách hàng sẽ được trải nghiệm các dịch vụ từ nha khoa điều trị đến nha khoa thẩm mỹ cao cấp với những điểm vượt trội:
- Đội ngũ bác sỹ tay nghề chuyên môn cao: Phòng khám PhenikaaMec quy tụ đội ngũ bác sỹ, chuyên gia đầu ngành, tốt nghiệp tại các trường danh tiếng trong và ngoài nước, kinh nghiệm phong phú, từng công tác tại các bệnh viện lớn.
- Trang thiết bị máy móc nhập khẩu hiện đại: Phòng khám đầu tư nghiêm túc, nâng cấp hệ thống trang thiết bị y tế, nhập khẩu từ nước ngoài. Hệ thống trang thiết bị hiện đại không chỉ giúp hỗ trợ chẩn đoán, điều trị nhanh chóng, chính xác mà còn đáp ứng các kỹ thuật nha khoa không đau, đạt tiêu chuẩn vô trùng khắt khe theo tiêu chuẩn quốc tế
- Quy trình đảm bảo an toàn: Phòng khám đặc biệt chú trọng đến khâu vô trùng và tuân thủ nghiêm ngặt quy trình thực hiện chống nhiễm khuẩn. Mỗi một bệnh nhân khi tới khám – điều trị sẽ được sử dụng một bộ dụng cụ riêng, được sát trùng và vệ sinh an toàn tối đa. Tất cả các máy móc thiết bị đều được vệ sinh vô trùng ngay sau khi sử dụng
- Tiện ích, tiện lợi: Khách hàng có thể đặt lịch online. Tại đây, khách hàng sẽ được chăm sóc tận tình, chu đáo, hướng dẫn chi tiết và giải đáp mọi thắc mắc khi có nhu cầu.
